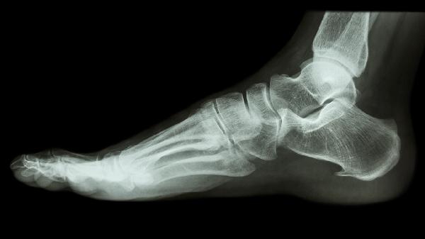
脚跟骨刺的治疗方法包括物理治疗、药物治疗和手术治疗,往里面打针并非首选方案。脚跟骨刺可能与长期负重、足部结构异常、慢性炎症等因素有关,通常表现为足跟疼痛、行走困难等症状。

1、物理治疗:脚跟骨刺的初期治疗通常以物理治疗为主。热敷、冷敷、超声波治疗等方法可以有效缓解疼痛和炎症。足部按摩和拉伸练习也有助于改善足部血液循环,减轻症状。
2、药物治疗:非甾体抗炎药如布洛芬、萘普生、双氯芬酸钠等可以缓解疼痛和炎症。局部外用药物如扶他林软膏、辣椒碱贴剂等也能起到一定的镇痛作用。

3、足部矫正:使用矫形鞋垫或定制鞋垫可以调整足部受力分布,减轻对脚跟的压力。足弓支撑和足跟垫的使用也能有效缓解疼痛,改善行走功能。
4、生活方式调整:避免长时间站立或行走,选择舒适的鞋子,减少足部负担。体重过重者应通过饮食和运动控制体重,减轻对足部的压力。
5、手术治疗:当保守治疗无效时,可以考虑手术治疗。常见的手术方式包括骨刺切除术、跟骨减压术等。手术可以有效去除骨刺,缓解疼痛,但需要根据具体情况选择合适的手术方案。

脚跟骨刺的治疗应结合个人情况,选择合适的治疗方案。日常生活中,注意足部护理,避免过度劳累,保持适当的体重,有助于预防和缓解脚跟骨刺的症状。
髋关节骨刺症状的危害主要包括关节活动受限、慢性疼痛、肌肉萎缩和继发性滑膜炎。骨刺可能压迫周围组织,导致炎症反应和...
膝盖长骨刺可通过物理治疗、药物治疗、手术治疗、生活方式调整等方式治疗。骨刺通常由关节退行性变、长期磨损、炎症刺激...
骨刺可通过物理治疗、药物治疗、中医调理、手术治疗等方式治疗。骨刺通常由关节退行性变、慢性劳损、代谢异常、遗传因素...
脚面骨刺主要表现为局部疼痛、活动受限、肿胀、关节僵硬等症状,发展过程通常从早期轻微不适到后期严重影响行走。 1、...
足跟骨刺可通过生活方式调整、物理治疗、药物治疗、手术治疗等方式缓解,具体方案需根据病情严重程度选择。 1、生活方...
膝盖长骨刺的症状主要包括关节疼痛、活动受限、晨僵和关节肿胀。骨刺是骨质增生的一种表现,通常与关节退行性变、长期劳...
骨刺可通过物理治疗、药物治疗、中医治疗和手术治疗等方式缓解。骨刺通常由关节退行性变、长期劳损、炎症刺激或代谢异常...
脚上长骨刺可能由长期劳损、体重过重、关节退行性变、痛风性关节炎等原因引起,通常表现为局部疼痛、活动受限等症状。 ...
骨刺属于骨质增生的一种表现形式,骨质增生主要包括关节边缘骨赘形成、椎体骨桥连接、肌腱韧带附着点钙化等类型。 1....
腰椎骨质增生(骨刺)可通过塞来昔布胶囊、双氯芬酸钠缓释片、硫酸氨基葡萄糖胶囊等药物缓解症状,治疗方法主要有物理治...