中性粒细胞数偏高通常提示细菌感染、炎症反应或机体应激状态,也可能与外伤、药物因素、血液系统疾病等相关。

中性粒细胞偏高最常见的原因是细菌感染,当病原体侵入人体时,骨髓会加速释放中性粒细胞进入血液循环。细菌性肺炎、泌尿系统感染、化脓性扁桃体炎等均可导致该指标升高。此时可能伴随发热、局部红肿等症状,需遵医嘱使用阿莫西林胶囊、头孢克肟分散片、左氧氟沙星片等抗生素治疗。
非感染性炎症如类风湿关节炎、痛风急性发作时,炎症因子刺激骨髓生成中性粒细胞。患者可能出现关节肿胀、疼痛,血沉和C反应蛋白同步升高。可遵医嘱使用双氯芬酸钠缓释片、塞来昔布胶囊等抗炎药物,配合秋水仙碱片控制痛风发作。
严重烧伤、外伤或手术后,机体通过升高中性粒细胞数量应对组织修复需求。此时常伴随白细胞总数增加,损伤局部出现红肿热痛。需规范清创处理,必要时使用破伤风抗毒素注射液预防感染。

糖皮质激素如醋酸泼尼松片、地塞米松片等药物会刺激中性粒细胞释放。长期使用肾上腺素类药物也可能导致一过性升高。通常停药后指标可逐渐恢复正常,用药期间需定期监测血常规变化。
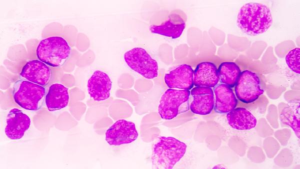
骨髓增殖性肿瘤如慢性粒细胞白血病时,中性粒细胞持续异常增高且伴未成熟细胞出现。患者可能出现乏力、脾肿大,需通过骨髓穿刺确诊。治疗可选择甲磺酸伊马替尼片、羟基脲片等靶向药物。

发现中性粒细胞偏高时应结合临床表现综合判断,避免剧烈运动并保持充足休息,每日饮水1500-2000毫升促进代谢。饮食选择高蛋白、高维生素的鸡蛋、瘦肉、西蓝花等食物,避免辛辣刺激。若持续升高或伴有明显不适,需及时完善降钙素原、血培养等检查明确病因。