牙齿酸疼可能与牙釉质磨损、龋齿、牙周炎、牙齿隐裂、牙髓炎等因素有关,通常表现为遇冷热酸甜刺激时疼痛加剧或自发疼痛,可通过脱敏治疗、补牙、牙周治疗、根管治疗等方式缓解。

长期使用硬毛牙刷、频繁食用酸性食物或胃酸反流可能导致牙釉质变薄。牙釉质磨损后牙本质暴露,外界刺激通过牙本质小管传导至神经引发酸痛。日常需改用软毛牙刷,避免进食柑橘类食品,必要时使用含硝酸钾的舒适达专业修复牙膏进行脱敏护理。
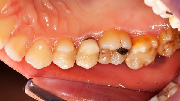
细菌分解食物残渣产酸会腐蚀牙体形成龋洞,当病变进展到牙本质层时会出现冷热刺激痛。浅龋可使用氟化钠甘油糊剂局部涂布,中深度龋齿需清除腐质后采用玻璃离子水门汀或复合树脂充填。伴随牙龈肿胀时可联合甲硝唑芬布芬胶囊消炎。
牙菌斑长期堆积引发的牙龈萎缩会使牙根面暴露,牙骨质直接受到刺激产生敏感症状。急性期可见牙龈出血溢脓,需进行龈下刮治配合盐酸米诺环素软膏局部给药。日常使用氯己定含漱液抑制菌斑,并定期进行超声波洁牙。

咬合创伤或牙齿结构薄弱可能导致肉眼难见的微裂,裂纹深达牙本质时会引发咀嚼酸痛。早期可通过调磨咬合面降低负荷,裂纹较深时需采用全冠修复保护牙体。急性疼痛期可临时服用洛索洛芬钠片缓解症状。
龋坏或外伤导致的牙髓组织炎症会产生放射性剧痛,冷刺激可能暂时缓解疼痛。确诊需拍摄牙片观察根尖周病变,需尽快进行开髓引流,完成后选择氢氧化钙糊剂行根管充填。发作期间避免平卧以防血液滞留加重疼痛。

日常应减少碳酸饮料摄入,刷牙时采用巴氏法避免横向用力摩擦牙颈。每年进行口腔检查可早期发现楔状缺损等潜在问题,若出现夜间自发痛或疼痛持续超过24小时需立即就诊。建议选用含氟化亚锡的牙膏增强牙体抗酸能力,使用牙线清洁邻接面能有效预防邻面龋发生。